고객지원센터
02)786-4929
|
지원가능한 스펙표 | |||
마에스트로 이외의 스캐너 지원 |
|
구강내 스캔 |
|
파일 생성 형태 |
.stl, .ply, .obj |
실제 색상과 같은 색 지원 |
|
3D 면 지원 |
|
Study Module |
ABO, ABO 2013, Ricketts, Parallel, Tweed |
3D 라벨링 |
|
3D 모델링 툴 |
|
2D 이미지 지원 | | 오클루전 맵 |
|
브라켓 제거 툴 |
|
3D 측정 툴 |
|
3D 이미지 보조 |
|
교합도 |
|
자동 치아 분할 |
|
치아 축,FA,끝,토크 자동 계산 |
|
가상 치근 |
|
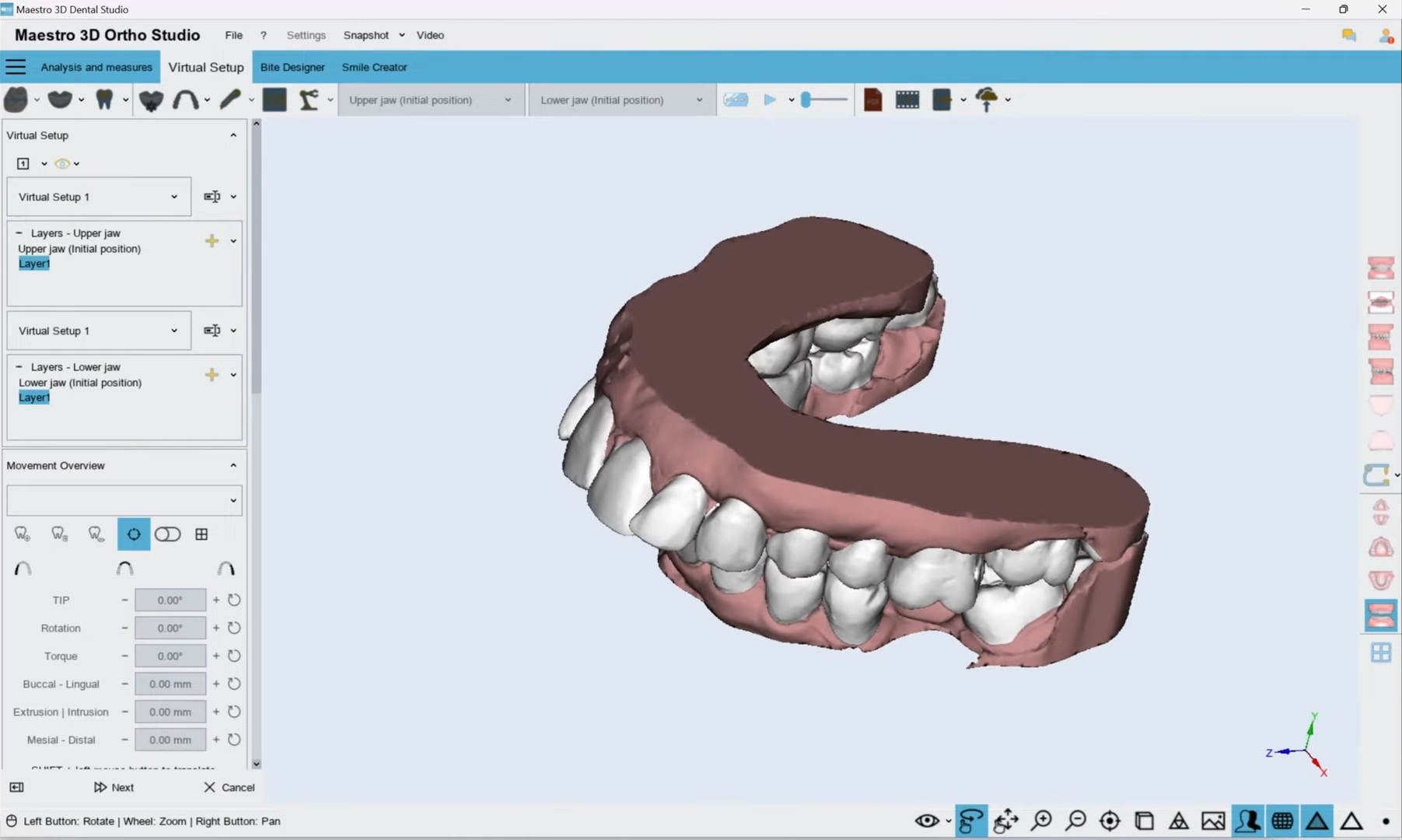
가상 설정 |
|
가상 폰틱(Pontic) | | 다중가상 설정 | |
사용자 설정 기구 |
![]() |
치간 삭제(IPR), 발치 |
|
실시간 간섭 체크(자동교차점,거리계산) |
![]() |
기구 배치 |
![]() |
배치된 기구 디자인 수정 |
|
기구 디자인 기능 |
|
브라켓 배치 |
![]() |
브라켓 디자인 |
![]() |
브라켓 지그 서포트 |
![]() |
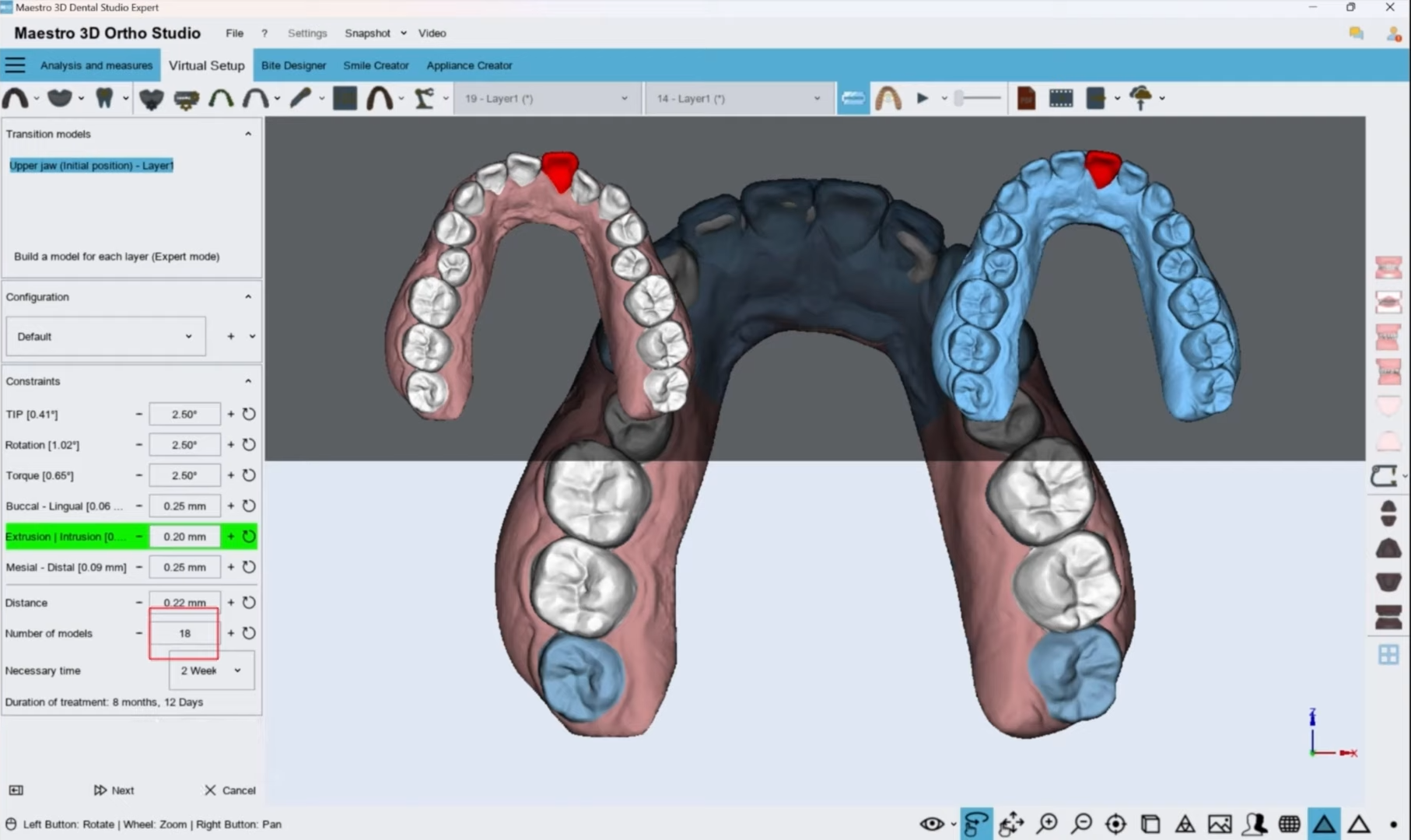
자동 전환 모델 구성 |
|
변경모델에 3D 라벨 자동 생성 |
![]() |
템플릿 모델 자동 생성 |
![]() |
Cut&Close |
![]() |
PDF 보고서 |
|
Hollow models | | Automatic Aligner Trimming |
|
Video 녹화 |
|
Video 보고서 |
|
이송 모델의 투명 교정 |
|
부착 위치 에칭(Etching) 가이드 |
|
브라켓 설치에 대한 투명 교정 |
![]() |
파일 지원 |
|
Bite Splint |
| Appliance |
|
디지털 목업 | | 의치 가이드 |
|
Maestro 3D Cloud Support |
| 3D 마우스, 터치 스크린 지원 |
|
다양한 언어 제공 |
en,kr |
요구 사항 |
Windows10, 11 |
Video 튜토리얼 제공 |
|
Wiki 유저 매뉴얼 제공 |
|
●3D Measurement Tools | 3D Modeling tools
Maestro 3D는 고급 3D 모델링, 3D 모델 수리(model repair), 측정 도구(measurement tools), 스캔된 모델에서 브라켓(bracket)을 디지털 방식으로 제거하는 기능, 그리고 서로 다른 3D 모델 간의 차이를 분석할 수 있는 비교 도구(3D comparison tools) 등 다양한 도구를 제공합니다.
이 중에서도 3D 모델 수리는 Maestro 3D가 특히 신경을 많이 쓰는 핵심 기능입니다. 구강 내 스캐너로부터 얻은 3D 모델은 종종 결함이 많은 경우가 있으며, Maestro 3D는 이러한 결함을 가능한 경우 자동으로 보정합니다. 이 자동 보정은 모델을 가져오는 과정에서 이뤄지거나, 소프트웨어가 제공하는 도구들을 통해 수행됩니다.
이 기능 덕분에 품질이 낮은 스캔 데이터라도 작업에 활용할 수 있으며, 숙련된 사용자가 이 도구들을 잘 활용하면 단순한 작업이 아닌 개인 맞춤형이고 예술적인 결과물로 완성도를 끌어올릴 수 있습니다.

●Automatic Tooth Segmentation
Maestro 3D의 자동 치아 분할(automatic tooth segmentation) 기능은 인공지능을 활용하여 치열(arch teeth)을 식별하고, 각 치아의 변연선(margin line)을 정확하게 추출한 뒤, 정확한 치아 번호를 자동으로 부여합니다.
일반적으로는 번거롭고 시간이 많이 소요되는 작업이지만, Maestro 3D에서는 단 몇 초 만에 처리되어 빠르고 직관적인 작업 과정으로 바뀝니다.
이를 통해 사용자는 시간을 절약하고, 전체 워크플로우를 훨씬 효율적으로 진행할 수 있습니다.
Maestro 3D의 효율적인 자동 치아 분할 기능을 활용해 보세요!

●Combining dental roots acquired through CBCT devices with scanned dental crowns
Maestro 3D는 각 치아의 축(axis), 회전 중심(center of rotation), 팁(Tip), 토크(Torque), 그리고 FA 포인트(Facial Axis point)를 자동으로 계산합니다.
이 값들은 사용자에 의해 쉽게 조정할 수 있어, 각자의 워크플로우를 자유롭게 설정할 수 있으며, 치아 이동 예측도 훨씬 명확해집니다.
특히 실제 치근을 사용할 수 있을 경우, 치아 축을 보다 정확하게 설정하고 치근의 위치를 정확히 파악하는 데 큰 도움이 됩니다.
Maestro 3D는 스캔된 크라운과 CBCT에서 추출한 실제 치근을 결합하는 기능을 제공하여, 매우 정밀하고 디테일한 최종 3D 모델을 생성할 수 있습니다.
이는 이후 단계에서의 정확한 교정 계획 수립에 매우 유용합니다.
이미지는 디지털로 스캔한 크라운과 CBCT 스캔에서 가져온 치근을 결합한 예시를 보여주며, 이 결합 과정은 빠르고, 간단하며, 완전히 자동으로 진행됩니다.

●CBCT mandible|maxilla and 3D Face
Maestro 3D를 사용하면 CBCT 장비를 통해 획득한 하악(mandible) 및 상악(maxilla)의 영상 이미지를 손쉽게 가져올 수 있습니다.
또한, 환자의 얼굴 3D 스캔과 정면 및 측면 사진도 함께 불러올 수 있어, 보다 사실적이고 정밀한 진단 및 계획 수립이 가능합니다.

●Virtual Pontic
가상 폰틱(virtual pontic)은 고정성 보철물 내에 포함되는 인공 치아로, 상실된 자연치아를 대체하여 기능과 심미성을 회복하는 역할을 합니다. 일반적으로는 사라진 치아의 임상 치관(clinical crown)이 차지하던 공간을 채우게 됩니다.
Maestro 3D를 사용하면, 치아 라이브러리에서 원하는 형태의 치아를 선택하거나 기존 치아를 대칭 복제하여 가상 폰틱을 손쉽게 추가할 수 있습니다.
이 중간 요소는 크기 조정 및 위치 조절이 가능하며, 자동 조정 기능을 이용해 인접 치아와의 간섭을 피하면서 자연스럽게 맞출 수도 있습니다.
또한 중간 단계 모델을 생성하는 동안, 폰틱은 근심(mesial)–원심(distal) 방향의 인접 치아 형태에 자동으로 적응하여 간섭 없이 부드럽게 연결되도록 설계됩니다.
